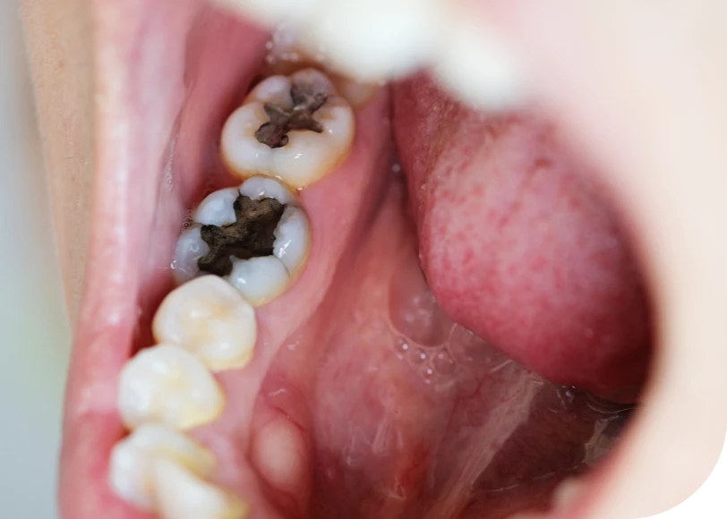
Caries

La carie dentaire est une maladie chronique très répandue qui touche les tissus durs de la dent. Elle se développe lorsque les bactéries présentes dans la bouche transforment les sucres des aliments en acides.

Ces acides attaquent l’émail, créant progressivement une cavité. Sans prise en charge, la carie peut s’étendre à la dentine, puis atteindre la pulpe dentaire, provoquant des douleurs parfois intenses et des complications plus sérieuses. Elles sont influencées par différents facteurs comme l’alimentation, l’hygiène bucco-dentaire ou encore la fréquence des visites de contrôle. Comprendre leur mécanisme de formation permet de mieux les prévenir et de réagir rapidement dès l’apparition des premiers signes.

Les causes principales de la carie

Les caries résultent d’un déséquilibre entre les agressions acides et la capacité de l’émail à se reminéraliser. Parmi les causes les plus courantes, on retrouve :

  • La consommation fréquente de sucres : boissons sucrées, bonbons ou grignotages favorisent la production d’acides.
  • Une hygiène bucco-dentaire insuffisante : un brossage irrégulier ou incomplet laisse la plaque dentaire s’accumuler.
  • La sécheresse buccale : une production réduite de salive diminue l’effet protecteur naturel de la bouche.
  • Des prédispositions individuelles : la morphologie des dents, la qualité de l’émail ou certaines pathologies peuvent augmenter le risque.

Ces facteurs combinés expliquent pourquoi certaines personnes développent des caries plus rapidement que d’autres.

Les différents stades d’évolution des caries

La carie progresse par étapes. Chacune nécessite une intervention adaptée :

  1. Atteinte de l’émail : au départ, une petite lésion blanche ou brune apparaît. À ce stade, la reminéralisation peut parfois stopper l’évolution.
  2. Extension à la dentine : la lésion s’approfondit, entraînant une sensibilité plus marquée.
  3. Atteinte pulpaire : lorsque la carie atteint la pulpe, les douleurs deviennent vives et continues.
  4. Formation d’un abcès : en l’absence de soins, une infection peut se développer, nécessitant un traitement urgent.

Comprendre ces stades permet d’agir au moment opportun et d’éviter des soins plus lourds.

Les moyens de prévention des caries

La prévention repose sur des gestes simples mais réguliers :

  • Brossage biquotidien avec un dentifrice fluoré adapté.
  • Utilisation du fil dentaire ou des brossettes interdentaires pour compléter le nettoyage.
  • Réduction des sucres dans l’alimentation et préférence pour les repas structurés plutôt que le grignotage.
  • Consultations régulières chez le chirurgien-dentiste pour détecter précocement toute anomalie.
  • Applications de fluor ou de scellements de sillons chez l’enfant lorsque cela est indiqué.

Ces habitudes contribuent à renforcer la résistance des dents face aux attaques acides.

Les traitements selon le stade de la carie

Le traitement varie en fonction de l’étendue de la lésion :

  • Carie débutante : des soins préventifs comme l’application de vernis fluorés peuvent suffire.
  • Carie limitée à la dentine : une restauration est réalisée à l’aide d’un matériau de type composite.
  • Carie profonde avec atteinte de la pulpe : un traitement endodontique (dévitalisation) est parfois nécessaire.
  • Dent très abîmée : une couronne peut être posée pour protéger la dent et restaurer sa fonction.

Le chirurgien-dentiste évalue toujours la solution la plus adaptée en tenant compte de l’état global de la dent et de la santé buccale du patient.

Caries chez l’enfant

Chez les enfants, les caries apparaissent souvent rapidement, notamment sur les molaires temporaires. Elles peuvent avoir un impact sur l’éruption des dents définitives et sur la croissance des mâchoires.

L’instauration de bonnes habitudes précoces est donc essentielle : brossage assisté par les parents, surveillance de la consommation de sucreries et suivi régulier en cabinet dentaire. Le scellement des sillons, en particulier sur les premières molaires permanentes, est une mesure efficace pour limiter l’apparition de caries.

Caries chez l’adulte

Chez l’adulte, les caries peuvent apparaître autour d’anciennes restaurations, dans les zones difficiles d’accès ou encore au niveau des racines lorsque la gencive se rétracte. Les traitements médicamenteux qui diminuent la salivation augmentent également le risque.

La vigilance est donc indispensable, même à l’âge adulte. Des contrôles réguliers permettent d’intervenir rapidement avant que la dent ne soit trop fragilisée.

Caries et santé générale

Les caries ne se limitent pas à une atteinte locale. Les bactéries peuvent se propager, entraînant des infections plus larges. Par ailleurs, une mauvaise santé bucco-dentaire est aujourd’hui associée à des répercussions sur l’état général, notamment cardiovasculaire ou métabolique.

Préserver la santé des dents contribue ainsi au bien-être global.

FAQ sur les caries

  • Une carie peut-elle guérir seule ?
    Non. Une carie ne disparaît pas sans traitement. Elle continue de progresser si elle n’est pas soignée.
  • Le fluor est-il vraiment utile ?
    Oui, il renforce l’émail et ralentit la progression des lésions carieuses.
  • Les caries sont-elles toujours douloureuses ?
    Non. Certaines évoluent sans douleur, d’où l’importance des visites régulières.
  • Les dents de lait doivent-elles être soignées ?
    Oui, car une carie sur une dent de lait peut affecter la dent définitive en dessous et perturber la mastication.
  • Une alimentation équilibrée suffit-elle à prévenir les caries ?
    Elle joue un rôle essentiel, mais doit être associée à une hygiène bucco-dentaire rigoureuse et des visites de contrôle.

Prendre soin de ses dents et consulter un professionnel

Les caries sont fréquentes mais évitables grâce à une bonne hygiène et à un suivi régulier. En cas de doute ou de symptôme, il est important de consulter sans attendre pour préserver la santé des dents et éviter des complications. Le Cabinet dentaire du Dr Alexis Duroux, située à Cannes, accueille les patients pour des soins adaptés et des conseils personnalisés. N’hésitez pas à prendre rendez-vous en ligne pour un suivi complet et rassurant.

À découvrir également :

Prenez votre rendez-vous en ligne dès maintenant via

    Contactez- Nous

    Une question ? Nous vous répondons sous 24 heures.

    Contactez-nous via le formulaire ci-dessous.